치아 교정은 많은 시간과 노력이 필요한 과정입니다.
많은 환자분들께서 교정이 잘되지 않을까 하는 불안으로 고민을 털어놓으십니다.
이런 마음을 잘 이해하기에, 상담시간이 1시간 이상 길어지더라도
솔직하고 자세한 소통을 통해 최선의 방향을 제시하며 정직하게 진료하고 있습니다.
치과의사로서의 23년은 단순히 빠른 결과보다는
평생 만족할 수 있는 치료를 제공하는 데 집중해 왔습니다.
앞으로도 숨김없이 자세하게 치료 계획을 말씀드리며, 환자분에게 꼭 필요한
치료와 만족할 수 있는 결과를 드리는 것을 가장 중요하게 여기겠습니다.

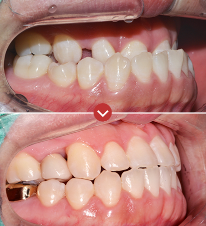
양악수술을 권유받으셨지만 온 가족이 반대했던 탓에
무거운 발걸음으로 찾아와 주신 환자분.
어려운 치료였지만, 저를 믿고 방문해 주시는 만큼
건강하고 행복한 삶을 되찾아 드리고 싶었습니다.
아무리 어렵고, 까다로운 치료라도 괜찮습니다.
만족해하시는 환자분들의 모습을 볼 때면
저의 신념이 결코 틀리지 않았다는 생각이 듭니다.
환자가 직접 평가한 한국소비자만족도평가
3회 연속 1등급 (2016,2017,2018)